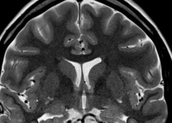
Your Brain Has Its Own Heartbeat—and It Might Show How Fast You’re Aging
Two people can be the same age and live completely different versions of getting older. One forgets names, the other trains for marathons. Scientists at USC think they may have ...







