DNYUZ
No Result
View All Result
DNYUZ
No Result
View All Result
DNYUZ
Home News

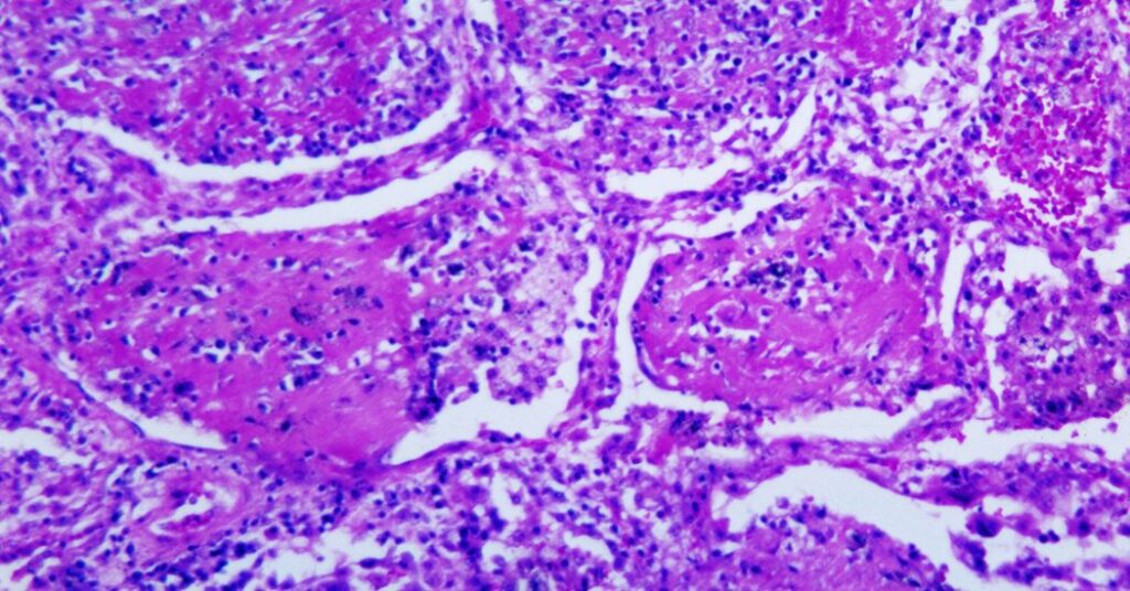
Dozens Are Sickened by a Rare Fungal Infection in Tennessee

January 21, 2026
in News
Dozens Are Sickened by a Rare Fungal Infection in Tennessee

One death is being investigated and at least 35 other people have been sickened in the Nashville area after breathing in the spores of a fungus commonly found in the soil, health officials said.

The illness, histoplasmosis, is a rare respiratory infection that can cause symptoms similar to those of the flu: fever, chills, cough, chest pain, fatigue and night sweats.

The fungus that causes it, histoplasma, is common in the soil of the Ohio River and Mississippi River valleys, which includes Middle Tennessee, and can spread through bird or bat droppings in soil, according to the Centers for Disease Control and Prevention.

Up to 90 percent of people in that region are exposed to histoplasma in their lifetimes, according to the National Center for Emerging and Zoonotic Infectious Diseases.

It does not spread communicably, or between humans and animals. The symptoms can be mild or, infrequently, life-threatening, like pneumonia and meningitis. Histoplasmosis is often misdiagnosed or diagnosed late, and there is no vaccine.

Alyssia Brown, 39, of Spring Hill, Tenn., tested positive for the infection after becoming ill. Her family learned of the result after her death, and previous tests had shown no other common respiratory illnesses.

The family has since learned that activities that disturb the soil or increase exposure to plant matter or bird or bat droppings increase the risk of coming in contact with the fungus. This includes activities like remodeling, or tearing down, old buildings; landscaping or farming; and gardening or yardwork.

“She was saying that in the areas that she was driving, ‘there’s just so much construction happening and so much excavating, and they’re knocking down these old buildings,’” her sister, Amity Brown, said.

Tennessee health officials said this week that they had not yet identified a clear source of exposure for the outbreak, which has affected two counties south of Nashville: Maury County and Williamson County.

Histoplasma “is commonly found throughout the soil in Tennessee, so it can be challenging to completely prevent exposure,” the Tennessee Department of Health said in a statement this week.

The C.D.C. is giving scientific technical support for the investigation, a spokeswoman, Melissa Dibble, said this week.

State health officials noticed an “uptick,” they said, in acute and severe cases beginning in September in residents of Spring Hill and Thompson’s Station.

In early December, they shared information about the cluster with area health care providers, urging them to report any patient from the affected counties who met clinical criteria and had symptoms starting on or after Aug. 1, and who either tests positive for histoplasmosis or has an epidemiological link to a confirmed case.

Histoplasmosis is relatively common in Tennessee, said Dr. Lili Tao, a professor of pathology, microbiology and immunology at the Vanderbilt University Medical Center in Nashville. Most people who inhale spores do not get sick, but if they do, it typically is treatable.

Most cases go unrecorded, and the lack of formal testing means that few deaths are attributed to histoplasmosis.

Dr. Tao said the current outbreak could be categorized as a midsize one. “Outbreaks of histoplasmosis have been documented as far back as the late 1930s,” she said, “with case numbers ranging from a few to several hundred.”

Symptoms usually appear three days to about two weeks after exposure, and the people with the highest risk of severe infection are those who are exposed to a large amount of spores, or those with weakened immune systems, experts say.

For Ms. Brown, who moved to Spring Hill, approximately 30 miles south of Nashville, in early October, the symptoms came within a couple of weeks. While attending a medical coding program, she held various jobs, including as a driver for Instacart, her sister said.

After becoming ill, Ms. Brown was tested for flu and Covid. The results were negative, her family said, and other lab results came back normal, with X-rays showing clear lungs.

Ms. Brown, who did not have health insurance and worried about paying for a visit to a doctor, remained ill for several weeks, but had started to feel better. She became very sick in early December, her mother, Gwendolyn, said.

Ms. Brown went to an emergency room after her symptoms had worsened and while there, she was tested for histoplasmosis. On Dec. 15, she was found dead on her bedroom floor, her family said. On Dec. 18, her family learned that she had tested positive for histoplasmosis, after the hospital had not been able to reach Ms. Brown. Her phone was taken by detectives, who were investigating her death.

The Browns are waiting for the official cause of death from the autopsy.

Amity Brown had her nurse-pinning ceremony on Dec. 19, to observe her official entry into the profession. Alyssia, who relied on Amity for health advice, had planned to be there for her sister.

“She was also wanting to wait to go to the hospital that I work at here in Knoxville,” Amity Brown said, “because she said, ‘I would feel better going to your hospital.’”

Adeel Hassan, a New York-based reporter for The Times, covers breaking news and other topics.

The post Dozens Are Sickened by a Rare Fungal Infection in Tennessee appeared first on New York Times.

Kristin Cavallari’s strict 6-month dating rule she follows after past relationship mistakes
News

Kristin Cavallari’s strict 6-month dating rule she follows after past relationship mistakes

by New York Post
February 8, 2026

Kristin Cavallari is sharing what she’s learned from her romantic relationships over the years and the one rule she’s set for ...

Read more
News

Paul Thomas Anderson Wins Directors Guild Award for ‘One Battle After Another’

February 8, 2026
News

Epstein Files Reveal Prosecutors’ Announcement Dated Before His Death

February 8, 2026
News

Second measles case confirmed at Disneyland

February 8, 2026
News

Weekly Horoscope: February 8-February 14

February 8, 2026
Haruki Murakami Isn’t Afraid of the Dark

Haruki Murakami Isn’t Afraid of the Dark

February 8, 2026
A postcard arrived: ‘If you’re reading this I’m dead, and I really liked you’

A postcard arrived: ‘If you’re reading this I’m dead, and I really liked you’

February 8, 2026
Ski Jumpers’ Penises are Causing a Stir at Winter Olympics

Ski Jumpers’ Penises are Causing a Stir at Winter Olympics

February 8, 2026

DNYUZ © 2026

No Result
View All Result

DNYUZ © 2026