DNYUZ
No Result
View All Result
DNYUZ
No Result
View All Result
DNYUZ
Home News

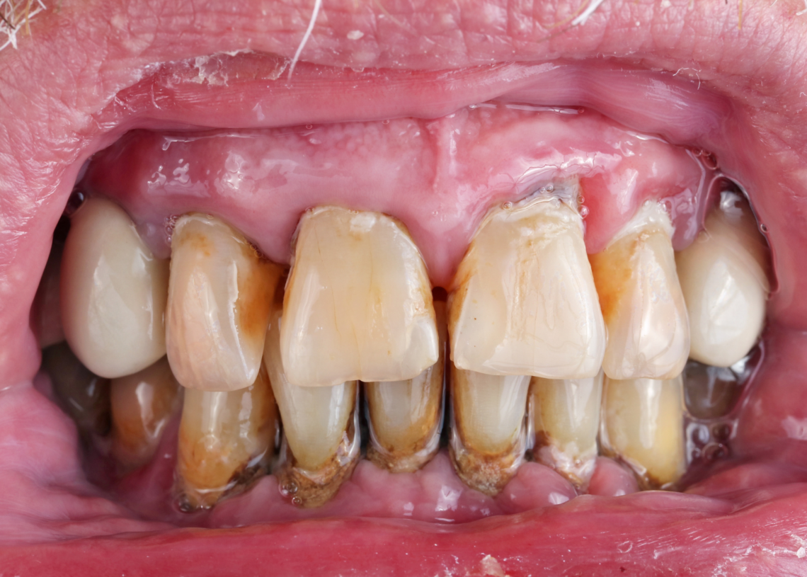
Take Care of Your Teeth, or Else You’ll Die Sooner

January 18, 2026
in News
Take Care of Your Teeth, or Else You’ll Die Sooner

Just as we can tell a tree’s age by cutting it in half and counting its rings, researchers may be able to get a sense of when you’re going to bite the big one by looking into your mouth.

A massive new study out of the University of Osaka says that the number and condition of your teeth can help predict how long you’re likely to live. The researchers take all sorts of things into account, like whether your teeth are healthy overall, whether they’ve been repaired, whether they’ve decayed, whether they’ve been repaired after they’ve decayed, or whether they are gone entirely.

They analyze dental and health records from more than 190,000 adults in Japan aged 75 and older, tracking which teeth were missing, which ones were filled, or which ones had rotted away, and compared the data to mortality outcomes.

When you read that sentence, it should instantly set off some alarms in your head, letting you know that correlation does not equal causation. Keep that in mind when I tell you that the researchers found that people with more missing or decayed teeth were more likely to die earlier than expected. People with healthy teeth, which includes teeth that were repaired, had a lower risk of death. They also found that counting both healthy and filled teeth predicted mortality better than focusing on healthy teeth alone.

Fixed teeth still count, which is good news for anyone hoping to fix up their decaying mouths in the near future.

The mouth is a direct pipeline to the rest of the body. Missing or rotting teeth can cause chronic inflammation, which is linked to several nasty, potentially deadly conditions, from heart disease to diabetes. Fewer teeth also make it harder for people to chew, which pushes older folks toward softer foods that are often less nutritious, contributing to physical decline.

The researchers made sure to note that poor dental health often overlaps with several larger influences on health, particularly social factors like income and access to care, factors that by themselves also affect longevity, but their findings suggest that what’s going on in your mouth might have some serious ramifications for the rest of your body.

The post Take Care of Your Teeth, or Else You’ll Die Sooner appeared first on VICE.

‘Train Dreams’ Triumphs at Independent Spirit Awards
News

‘Train Dreams’ Triumphs at Independent Spirit Awards

by TheWrap
February 16, 2026

Clint Bentley’s “Train Dreams” took home three awards – Best Feature, Best Director and Best Cinematography – at the 41st ...

Read more
News

Snowflake’s CEO says software giants risk becoming a ‘dumb data pipe’ to AI models

February 16, 2026
News

Investigators believe Nancy Guthrie’s abduction could have been a botched robbery: report

February 16, 2026
News

Paramount Insists ByteDance Stop Use of Copyrighted Material to Train AI Models in Cease-and-Desist: ‘Blatant Infringement’

February 16, 2026
News

Jacob Elordi, 28, says he has ‘no relationship’ with social media

February 16, 2026
Ego Nwodim Dunks on Cher, Belatedly Celebrates ‘The Town’ in Spirit Awards Monologue

Ego Nwodim Dunks on Cher, Belatedly Celebrates ‘The Town’ in Spirit Awards Monologue

February 16, 2026
Weekly Horoscope: February 15-February 21

Daily Horoscope: February 16, 2026

February 16, 2026
‘Rose’ Review: Sandra Hüller Is a 17th Century Woman Passing as a Man in Intellectually Gripping Drama

‘Rose’ Review: Sandra Hüller Is a 17th Century Woman Passing as a Man in Intellectually Gripping Drama

February 16, 2026

DNYUZ © 2026

No Result
View All Result

DNYUZ © 2026