DNYUZ
No Result
View All Result
DNYUZ
No Result
View All Result
DNYUZ
Home News

A full-body MRI can reveal hidden killers. Do we want to know?

December 5, 2025
in News
A full-body MRI can reveal hidden killers. Do we want to know?

Nine out of 10 doctors agree: I am a highly creative hypochondriac.

Using medical expertise I obtained from the internet, I have successfully misdiagnosed myself with, among other things: heart disease, pancreatitis, liver and kidney disorders, a blood platelet deficiency, malignancies of the colon and prostate, Lyme disease and memory loss (although I don’t recall exactly when that was). The pain I sometimes get when I sleep on my side? Must be cancer. Headache after a hard workout? Brain aneurysm. My tombstone will say, “I told you so.”

So, naturally, when I first heard the longevity gurus touting full-body MRI scans a couple of years ago, I was ready to sign up. Here was a chance to examine my body from cerebrum to metatarsal and locate abnormal spots as tiny as 2 millimeters. Never again would I have to conjure up imaginary infirmities. I could now reassure myself that I was healthy — or prove beyond all doubt that I was gravely ill.

But it’s a bit more complicated than that, both for the worried well like me and for the many others who don’t share my knack for self-misdiagnosis.

The new technology that powers these full-body MRIs — something called diffusion-weighted imaging (don’t ask me to explain) combined with the pattern recognition of artificial intelligence — has the potential to save our lives by revealing budding cancers, silent aneurysms and other hidden would-be killers before they become deadly.

But the scans cost $2,500 a pop and insurance won’t pay. Worse, for every cancer these MRIs find, they produce a slightly greater number of false positives that require a biopsy, with the potential for infection and bleeding and emotional distress. Even when the scans don’t produce a false positive, they almost always come up with some vague and disconcerting abnormality.

Like many emerging technologies, this one can improve our lives, make us miserable, or both. Nobody yet knows which it will be, because we’re the first humans to have the option of examining our innards with such clarity. Will we feel better after viewing our insides? Or will we become anxious about things we hadn’t even thought to worry about?

Part of living has always been in the mystery, in not knowing what tomorrow will bring. Now, because of sophisticated imaging, genome sequencing and other revolutionary screening tools, we can have predictability, or at least the illusion of it. But do we want that?

The American College of Radiology says we do not. Its still-current 2023 statement says there is not “sufficient evidence” to recommend full-body screening, cautioning that the scan could lead to needless testing and expense.

But David Larson, chair of ACR’s Commission on Quality and Safety, told me that could change as more data comes in. “When people ask me, ‘Would you recommend it?’ I would say it depends on your tolerance for ambiguity,” he said, giving the example of somebody found to have a borderline aortic aneurysm who is advised to wait and monitor it. If “that won’t keep you up at night, then I wouldn’t necessarily recommend against it.”

I asked if he thinks the full-body MRI will become common in medicine. “Personally, yes, I do,” he said. “In the grand scheme of human history, we’ve been around for at least thousands of years, [while] this level of imaging is only a few years old … We just happen to be the ones on the cutting edge.”

My long-suffering G.P., who patiently endures my stream of imagined maladies, at first discouraged me from getting the MRI. But at my last checkup, he withdrew his objection, because the scans have produced lifesaving findings for a couple of his patients.

So I decided to roll the dice. What I found made me glad I did.

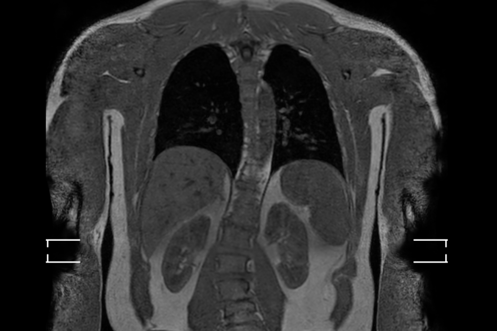
I have nothing to hide from you, Dear Reader, so I’ve included images of my insides with this column. Other journalists may talk a good game about transparency. But how many of them have shown you videos of their spleens?

When I arrived at the Prenuvoclinic in Bethesda, Maryland, the receptionist asked which size scrubs I’d prefer and what Netflix show I’d like to listen to during the test. A snack bar in the waiting room offered smoothies, espressos and snacks. In the restroom there were mouthwash packets and gold stickers with “P” for Prenuvo on the toilet-paper rolls.

The feel was more hospitality industry than medical, and for good reason: Customers are paying out of pocket, and Prenuvo, the largest whole-body MRI company, wants them to have a spa experience — or as much of a spa experience as you can have with powerful magnets clanging and thumping around you.

Ten minutes before my scheduled scan, I was led into the dressing room, where abstract art decorated the soothing beige walls. I donned my charcoal-grey scrubs and disposable booties and perused the reading selection, which had titles such as “The Age of Scientific Wellness.”

From there it was on to the MRI pods, two spaceshiplike machines in adjacent rooms with subdued lighting. I lay on the platform as the tech fitted me with a headset (tuned to the default spa music) and radio-frequency pads to guide the MRI. Then he slid me into the spaceship where, for the next half hour, I obeyed a mechanical woman’s voice that rose above the knocking and banging: “Breathe in. Breathe out. Hold your breath. You may breathe again.”

It wasn’t exactly Canyon Ranch — it was confining and increasingly hot in that tube, and I felt the most powerful vibrations in my skull — but neither was it an ordeal. There was no radiation involved and no contrast dye injected.

Afterward, I changed, grabbed some Popchips and a Spindrift from the snack bar, and headed out to dodge the speeding traffic on Wisconsin Avenue. I thought about the ironic headline that might ensue: Pedestrian killed while leaving longevity clinic. We may hope that technology will give us the certainty we crave, but life is, and will remain, unpredictable.

One thing was certain, however: I would have to wait a week or two for my results. Vikash Modi, Prenuvo’s senior medical director of preventative medicine, had cautioned that “this is when the anxiety will start to peak in some of our patients.” But if the radiologist found something “highly irregular” — a big, ugly cancer or the like — I would get a call in the first few days.

About 1 in 20 gets that dreaded call. A study Prenuvo presented earlier this year of 1,011 participants found that 4.9 percent of scans required a follow-up biopsy. Of those, 2.2 percent were actually cancer, and the other 2.7 percent were false positives. Of the 22 cancers the scans caught, 86 percent of patients had no specific symptoms.

But if finding something truly awful is rare, finding something abnormal is almost guaranteed. Modi said only 1 in 20 scans come back completely clean. The vast majority of patients wind up in the ambiguous realm where something may look suspicious but doesn’t require urgent follow-up.

I thought I could live with that uncertainty. A bigger hurdle was the price. As long as insurance doesn’t cover the full-body MRI, the scan will be only for the wealthy (among the 130,000 Prenuvo scanned so far, Kim Kardashian called it “life saving”) and others who can scrape together $2,500 for the full-body test or $4,000 to $4,500 for the “enhanced screening” with bloodwork. My boss cautioned me that I could not put the scan on my expense account.

So I opted for the $1,000 torso scan — still an extravagance, but within reach for more people. It also provides the biggest bang for the buck. “This is our bread-and-butter area,” Modi said, noting that 17 of the 22 cancers detected in the Prenuvo study were in the chest, abdomen or pelvis. This, Modi said, is where they often find cancers that wouldn’t be discovered until they are incurable, like “that scary pancreatic stuff.”

The first few days after the scan came and went without a bad-news phone call. Six days after the MRI, an “executive concierge” emailed me to schedule my consult, and six days later, I got a notice that my report was ready.

Anxiously, I logged in and found … that there were a whole lot of things wrong with me, including, ominously, “a 2.5 mm pulmonary nodule in the right lower lobe” and “a 4.6 mm intraductal papillary mucinous neoplasm in the pancreatic tail.” In all, the scan found 12 abnormalities.

Lung cancer and pancreatic cancer? I was doomed!

Not quite. Ten of the 12 findings were labeled “minor,” and six of those were musculoskeletal wear-and-tear problems I already know about from the usual aches and pains. Even the two “moderate” findings didn’t sound that grim when I read on. The “indeterminant lesion” in my lung requires no follow-up, while the thing in my pancreas is “low-risk.”

Alongside the written report were a bunch of photographs and videos from the scan that looked like cuts of osso buco and rib-eye. There was a red and squiggly “tumor detection” sequence; a spinning torso in black and blue; a “fat-sensitive sequence” that looked like an amoeba; various videos showing organs, muscles and bones dissolving and reappearing; and one showing my pancreas spinning like a wind sock.

Ninety minutes later, I had my Google Meet consultation with Modi, who made sense of it all. The “most interesting” finding was the pancreatic cyst, because, at this size and location, there’s a 3 percent chance it will become cancerous in the next five years. But if annual follow-up scans of my pancreas (covered by insurance) show it’s getting bigger, the cyst can be removed before it becomes cancer.

For me, this made the MRI worthwhile. Sure, there was a 97 percent likelihood the cyst never would develop into a problem even if I hadn’t learned about it. But now, with minimal inconvenience, I can eliminate that 3 percent risk of getting pancreatic cancer, the most lethal of major malignancies.

The rest of Modi’s consult provided peace of mind. My heart, esophagus, stomach, gall bladder, adrenal gland and prostate all looked healthy, there was no sign of fatty liver, the lesions in the lung and liver were probably remnants from long-ago infections, and small irregularities in the spleen and kidneys weren’t worrisome.

“You did great, man,” Modi said, calling my smorgasbord of abnormalities typical for my 57 years. “We see these things all over the place, especially when people hit their 40s.” On a five-point scale of cancer risk, on which, he says, all adults score two or higher, Modi put me at three.

My doctor, after reviewing the Prenuvo report, called it “useful data,” and we agreed I’ll do a follow-up pancreas scan next year. As for the rest, he observed, “they do outline multiple nonspecific abnormal areas, so certain personality types might struggle with this type of information.”

But I am not struggling. My immediate reaction was of relief: There was nothing in my body that was about to kill me.

Later, I felt an unexpected bout of sadness as I reflected on all the hemangiomas, hyperintensities, joint effusions and other signs of degeneration in my scan. They may be unremarkable for somebody my age, but they are hard confirmation of the decay that comes with getting old. Those clinical photos and videos illustrate the body’s inexorable march toward death.

Ultimately, though, I landed in a place of calm. Knowing what is going on inside me down to that 2.5 millimeter nodule feels empowering. My medical worries, I think, came from a fear of the unknown — and now I believe that I can monitor and, if necessary, correct what is going on inside. That sense of control may be illusory. As Prenuvo cautions in its comically long list of caveats, it can’t detect all conditions or replace the need for standard cancer screenings — and my scan didn’t even look at my head or neck.

But now that I’ve seen there’s no football-size tumor inside me, I probably won’t immediately suspect the worst the next time I get a bellyache. I might just assume it’s a bellyache. And if that bellyache winds up killing me? Well, I told you so.

The post A full-body MRI can reveal hidden killers. Do we want to know? appeared first on Washington Post.

SCOTUS Justices Poised to Block Trump’s Fed Power Grab
News

SCOTUS Justices Poised to Block Trump’s Fed Power Grab

by The Daily Beast
January 21, 2026

The U.S. Supreme Court appeared deeply skeptical that President Donald Trump could legally fire Lisa Cook from the Federal Reserve. ...

Read more
News

Cardi B 2026 tour: Dates, venues, and where to buy tickets

January 21, 2026
News

What ICE is doing that’s so controversial

January 21, 2026
News

Red state senators get brutal lesson that even they can’t count on Trump

January 21, 2026
News

Rare Ivanka Trump Appearance Sparks Surgery Speculation

January 21, 2026
A Night With ‘The Funniest Person Who Ever Lived’

A Night With ‘The Funniest Person Who Ever Lived’

January 21, 2026
‘Dystopian scenes’: Dems seethe over inability to impeach Noem and tackle ICE terror

‘Dystopian scenes’: Dems seethe over inability to impeach Noem and tackle ICE terror

January 21, 2026
Kristen Bell will return to host SAG’s Actor Awards for third time

Kristen Bell will return to host SAG’s Actor Awards for third time

January 21, 2026

DNYUZ © 2025

No Result
View All Result

DNYUZ © 2025